Constitutional Karyotyping | Chromosomal Analysis | Cytogenomix® Malaysia
Chromosomal Analysis

Constitutional Karyotyping

Comprehensive chromosomal analysis for infertility workup, recurrent miscarriages, and prenatal diagnosis. G-banding at 400-550 band resolution.

400-550 BAND RESOLUTION
5-7 BLOOD TAT (DAYS)
7-10 PRENATAL TAT (DAYS)
5+ SAMPLE TYPES

What is Constitutional Karyotyping?

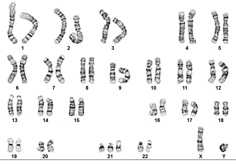
Constitutional karyotyping is the analysis of an individual's chromosome complement to detect numerical and structural abnormalities. This test is essential for diagnosing genetic disorders, investigating infertility, and evaluating recurrent pregnancy loss.

  • Numerical Abnormalities: Detection of aneuploidies such as Down syndrome (trisomy 21), Turner syndrome (45,X), and Klinefelter syndrome (47,XXY)
  • Structural Abnormalities: Identification of translocations, inversions, deletions, and duplications
  • G-banding: GTG banding at 400-550 band resolution for detailed analysis
  • Multiple Sample Types: Analysis of peripheral blood, amniotic fluid, CVS, cord blood, and products of conception (POC)

Results are reported according to ISCN 2020 nomenclature guidelines, ensuring accurate interpretation and clinical utility.

Karyotype Analysis

Sample Types Accepted

Multiple sample types for comprehensive chromosomal analysis

Peripheral Blood

3-5 mL in Sodium Heparin (green top)
Room temperature transport
Must arrive within 24-48 hours
TAT: 5-7 days

Amniotic Fluid

20-30 mL in sterile Falcon tube
Room temperature transport
Do not refrigerate or freeze
TAT: 7-10 days

Chorionic Villus Sampling (CVS)

10-20 mg in transport media
Room temperature transport
Transport media available from Cytogenomix
TAT: 7-10 days

Cord Blood

1-2 mL in Sodium Heparin
Room temperature transport
Process within 24 hours
TAT: 5-7 days

Products of Conception (POC)

Foetal tissue in transport media
Room temperature or refrigerated
Transport media available from Cytogenomix
TAT: 10-14 days

Transport Media

Available for CVS and POC samples
Contact lab to request media
enquery@cytogenomix.com
Request Before Collection

Indications for Karyotyping

When to consider constitutional chromosome analysis

Infertility Workup

  • Couples with unexplained infertility
  • Severe oligospermia or azoospermia
  • Primary ovarian insufficiency
  • IVF/ICSI preparation
  • Premature ovarian failure

Recurrent Miscarriages

  • Two or more pregnancy losses
  • Unexplained recurrent miscarriage
  • Evaluation of POC samples
  • Parental balanced translocation screening

Prenatal Diagnosis

  • Advanced maternal age (≥35 years)
  • Abnormal ultrasound findings
  • Positive aneuploidy screening
  • Family history of chromosomal abnormality

Postnatal Diagnosis

  • Dysmorphic features
  • Developmental delay
  • Growth retardation
  • Ambiguous genitalia

Our Methodology

Standardized G-banding protocol for consistent results

1

Culture

Lymphocytes from blood or foetal cells from prenatal samples are cultured to obtain metaphase chromosomes

2

Harvest

Cells are arrested in metaphase, harvested, and dropped onto slides to spread chromosomes

3

G-Banding

Trypsin-Giemsa banding (GTG) produces characteristic banding patterns for chromosome identification

4

Analysis

20 metaphases analyzed with 5 karyotyped; resolution of 400-550 bands

Band Resolution

Our laboratory provides high-resolution G-banding for optimal detection of chromosomal abnormalities.

Standard

400-450
bands per haploid set

High Resolution

500-550
bands per haploid set

Detection

5-10 Mb
minimum deletion size

Turnaround Times

Expected reporting times from sample receipt

Sample Type Turnaround Time Notes
Peripheral Blood 5-7 days From sample receipt at laboratory
Cord Blood 5-7 days From sample receipt at laboratory
Amniotic Fluid 7-10 days Culture time required
Chorionic Villus Sampling (CVS) 7-10 days Direct and cultured analysis
Products of Conception (POC) 10-14 days Depends on tissue quality

Rush options available for urgent clinical cases. Contact laboratory for expedited requests.

Sample Collection & Transport

Detailed requirements for each sample type

Peripheral & Cord Blood

Tube Type: 3-5 mL Sodium Heparin (green top)
Storage: Room temperature (18-25°C)
Transport: Must arrive within 24-48 hours
Do not: Refrigerate, freeze, or use EDTA tubes

Amniotic Fluid

Container: 20-30 mL in sterile Falcon tube
Storage: Room temperature (18-25°C)
Transport: Immediate transport preferred
Do not: Refrigerate, freeze, or centrifuge

CVS & POC Samples

Container: Sterile container with transport media
Transport Media: Available from Cytogenomix lab
Storage: Room temperature or refrigerated
Request Media: Contact lab at least 24 hours before collection

Transport Guidelines

All samples must be:
  • Properly labeled with patient name, ID, and collection date
  • Accompanied by completed requisition form
  • Packed to prevent leakage
  • Transported at room temperature
For transport media requests: +603-1234-5678 ext 123
Down Syndrome Karyotype

Down Syndrome (Trisomy 21)

The most common chromosomal abnormality diagnosed by karyotyping. Down syndrome results from three copies of chromosome 21 and occurs in approximately 1 in 700 live births.

95%
Free Trisomy 21
4%
Robertsonian Translocation
1%
Mosaic

Karyotyping can distinguish between these types, which is essential for recurrence risk counseling:

  • Free Trisomy 21: Recurrence risk ~1%
  • Robertsonian Translocation: Recurrence risk up to 15% depending on carrier parent

Common Abnormalities Detected

Examples of chromosomal findings by karyotyping

47,XX,+21

Down Syndrome

Trisomy 21 - Most common autosomal aneuploidy compatible with life

47,XXY

Klinefelter Syndrome

Male with extra X chromosome; tall stature, infertility, hypogonadism

45,X

Turner Syndrome

Monosomy X; short stature, webbed neck, ovarian dysgenesis

46,XX,t(4;8)(p16;p23)

Balanced Translocation

Reciprocal translocation between chromosomes 4 and 8; associated with recurrent miscarriages

46,XY,del(15)(q11q13)

Prader-Willi/Angelman

Deletion of 15q11-q13; parent-of-origin determines syndrome

46,XX,inv(9)(p12q13)

Pericentric Inversion

Common variant, usually benign; but may increase risk for unbalanced offspring

Frequently Asked Questions

Common questions about karyotyping

What is the difference between karyotyping and microarray?

Karyotyping provides a whole-genome view at the microscopic level, detecting large chromosomal abnormalities (≥5-10 Mb). Microarray (CMA) detects smaller copy number changes but cannot detect balanced rearrangements. The tests are complementary.

Why is heparin tube required for blood?

Sodium heparin prevents clotting while maintaining cell viability for culture. EDTA tubes are not suitable as they chelate calcium and inhibit cell growth.

How long can samples be stored before transport?

Blood should be transported within 24-48 hours. Amniotic fluid and CVS samples should be sent immediately. Contact the laboratory if there will be any delay.

What is the success rate for POC samples?

Culture success depends on sample quality and time from pregnancy loss to collection. Success rate is approximately 80-90% when samples are collected fresh and placed in transport media.

How do I request transport media?

Contact our laboratory at least 24 hours before collection. Media can be couriered to your clinic. Call +603-1234-5678 ext 123 or email media@cytogenomix.com

Do you provide genetic counseling with results?

Yes, all abnormal results are reviewed with our board-certified genetic counselors. We offer post-test counseling to discuss implications and recurrence risks.

Ready to Order Karyotyping?

Our cytogenetics team and genetic counselors are ready to assist with test selection, sample collection, and result interpretation.

enquiry@cytogenomix.com | +603-1234-5678 ext 123

Chat with us